破局终身注射困境,领航基因治疗新篇 — LX102 III期研究者会圆满召开
2025年6月4日,在第二十六届全国眼底病论坛暨国际视网膜研讨会期间,朗信生物成功举行LX102研究者会。会议汇聚了来自全国19省市20余家权威眼科中心的30余位眼底病专家,共同探讨了LX102的临床研究进展、II期中期结果、III期临床方案及新生血管性年龄相关性黄斑变性(nAMD)基因治疗的未来发展。此次会议标志着国内首款nAMD基因治疗药物即将进入III期临床试验阶段。
LX102是继LX101(国内首个进入III期临床试验的遗传性视网膜病变基因治疗)之后,公司第二个进入III期临床研究的产品。这不仅标志着朗信生物在眼科创新药研发领域取得重要里程碑,也意味着该产品有望成为国内首个针对常见退行性疾病,进入确证性临床试验阶段的基因治疗药物。
会议旨在推动中国nAMD基因治疗创新技术转化开发进程,与会专家聚焦LX102现有临床数据、典型病例分析及III期临床试验方案,展开专题回顾和热烈讨论。
朗信生物创始人汪枫桦博士系统回顾了LX102的研发历程及现有临床数据。其中,LX102长期疗效获得了IIT以及I期临床研究数据的支持:首例患者单次给药后视力稳定改善超过30个月,病灶显著缩小后无复发;I期临床12例受试者中,目标剂量组(100%)无需抗VEGF补充治疗,患者视力稳定改善,疾病活动性长期有效控制(最长随访达到24个月),未报告新的安全性信号。

本次会议联合主席孙晓东教授和李筱荣教授分享和点评了LX102-VENUS(eValuation of LX102 Efficacy and safety in NAMD sUbjects: a multicenter randomized controlled Study)研究的中期结果,该项研究是国内首个nAMD基因治疗的II期随机对照研究,所有受试者已完成6个月随访,全部受试者无需接受抗VEGF补充治疗,试验组目标受试者视力平均提升4~12个字母,和阳性对照组阿柏西普相比,功能改善相当,同时,LX102在对AMD核心病理“新生血管”活动性控制上,显示出更稳定的疗效趋势,和对照组10%的缓解率相比,试验组75%以上的患者实现“完全缓解”。
来自中山大学中山眼科中心的梁小玲教授和四川大学华西医院的徐筑萍教授分享了手术经验和典型病例。

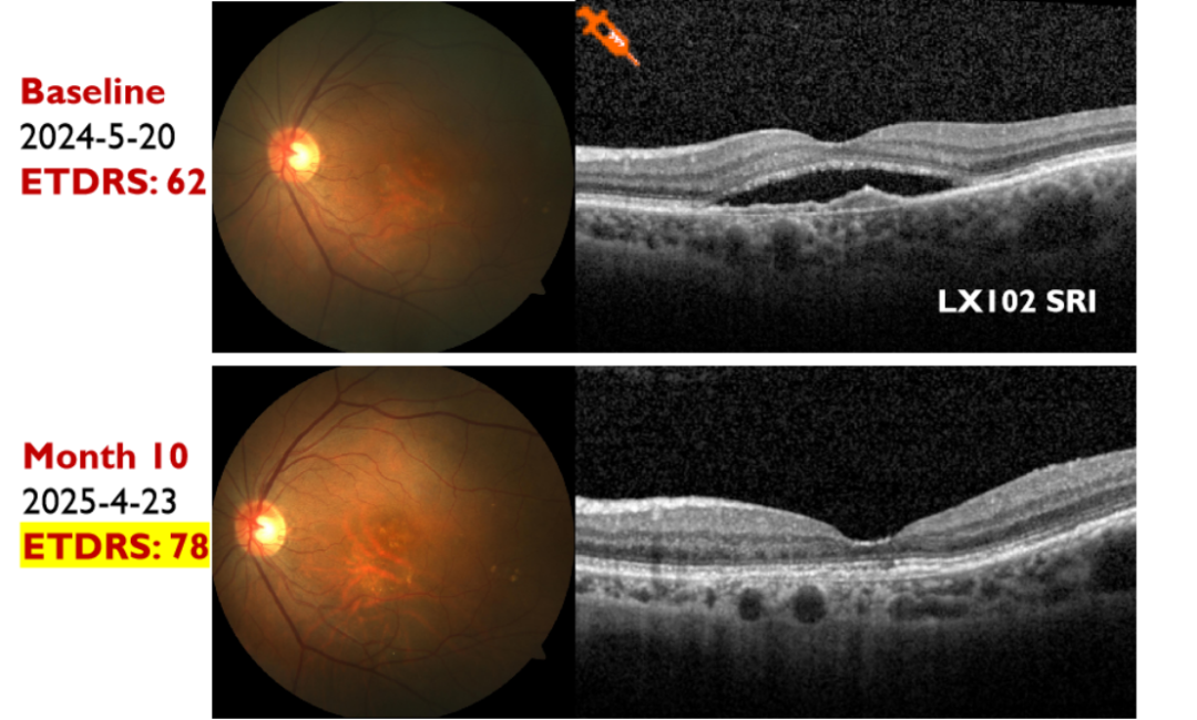
病例分享:一位74岁女性受试者,入组前共接受过9次抗VEGF治疗,视网膜下液持续复发。接受LX102治疗后,视网膜结构持续改善,未出现任何疾病复发;截至给药后10个月无需抗VEGF补充治疗,视力提升16个字母(相当于小数视力0.3)
与会专家一致认为:LX102展现的“单次给药、长期有效”潜力,有望重塑nAMD治疗模式,推动基因治疗成为未来nAMD的一线维持疗法,为实现从“疾病管理”向“功能性治愈”的转变提供可能。
朗信生物将持续推进LX102的全球临床开发,致力于为nAMD患者带来持久视力改善。公司衷心感谢所有参与研究的医疗机构、专家团队及患者和家属的支持
关于LX102注射液
LX102注射液由朗信生物自主研发、生产制造的nAMD基因治疗药物,其作用机制明确:通过AAV载体将表达抗VEGF融合蛋白的基因序列递送至视网膜细胞,实现眼内抗VEGF蛋白的长期表达。在此前进行的多项临床研究中,LX102表现出良好的安全性和耐受性,并在多位患者中观察到持久的视力改善疗效。LX102于2022年12月23日获得中国CDE临床许可;于2023年12月22日获得美国FDA临床许可,2024年获得美国FDA临床II期试验许可。
朗信生物
朗信生物(Innostellar Biotherapeutics Co.,Ltd)致力于基因治疗创新药物研发制造。公司成立于2020年,关注遗传性疾病和慢性病治疗中的迫切需求,形成多管线产品开发基础。
公司以眼部疾病产品作为基因治疗突破点,构建安全、精准的基因替代和基因编辑技术,实现基因治疗的临床应用,已建立多系统疾病基因治疗的研发团队和平台生产技术。两项产品正式获得IND批件,均在目前临床试验中表现出良好的安全性和疗效趋势。用于治疗RPE65突变相关遗传性视网膜营养不良(IRD)的LX101为国内第一个获得临床试验批件的IRD基因治疗产品,已完成30例患者超过1年随访。公司关注眼部遗传性和慢性疾病的基因治疗领域,拥有多个管线产品研发及产业化技术的开发基础,与国内外知名临床医学科学家密切合作,提升创新能级,以更优效率更优质量开发基因治疗产品,最终应用于临床。LX102是公司在新生血管性年龄相关性黄斑变性(nAMD)领域的代表性产品,目前正在全球多个国家进行临床试验。
